A groundbreaking gel developed by German scientists could transform joint treatment by regenerating cartilage without surgery or implants. This innovation, …
Basic survival, emergency preparedness, some politics with a few fun do-it-yourself skills thrown in.
Basic survival, emergency preparedness, some politics with a few fun do-it-yourself skills thrown in.

A groundbreaking gel developed by German scientists could transform joint treatment by regenerating cartilage without surgery or implants. This innovation, …

My name is Marc. I’m a Widowed-father of 3 children who lost their mother. I’m not a professor. I don’t …

Researchers at the University of Pennsylvania, led by César de la Fuente, utilized an updated version of their deep-learning AI …

Eli Health’s Hormometer is a pioneering at-home hormone monitoring system that analyzes cortisol and progesterone levels in saliva, offering real-time …

The first fully robotic heart transplant in the United States, performed without opening the chest or cutting bones, took place …

The Joe Tippens Protocol is an alternative cancer treatment regimen developed by Joe Tippens, who claims it helped him achieve …

Japanese scientists have created a hydrogel that reverts cancer cells back to cancer stem cells in 24 hours pic.twitter.com/tfw77dYFGv — …

Itraconazole is a prescription medication used to treat fungal infections of the lungs, mouth or throat, tonenails or fingernails. Itraconazole …

Dr. William Makis is a Canadian physician who specializes in nuclear medicine, radiology, and oncology. He uses advanced imaging technologies to diagnose and …

Dr. William Makis is a Canadian Nuclear Medicine Radiologist and Oncologist known for his work in cancer treatment, particularly with …

Turns out much of what we “understand” about Alzheimer’s Disease is total BS. Given that s many of us deal …

The National Toxicology Program (NTP), which is part of the National Institutes of Health (NIH), has – after decades – …

In a revealing study, GPT-4, an AI model, was pitted against human diagnostic skills in medical scenarios. A preview of …

As former president, DJT mentioned a bleaching agent in his remarks about possible cures for covid. We covered it back …

Nicotine, primarily known for its presence in tobacco, has been the subject of research for its potential therapeutic effects beyond …

Ivermectin is the widely used parasite treatment that many thought effective against the virus which caused the 2021-22 pandemic. You …

Yesterday, Elon Musk and the Neuralink team held a highly anticipated press conference to provide updates on their groundbreaking brain-computer …

Alzheimer’s disease is the most common cause of dementia—a general term for loss of memory, language, and other thinking abilities). Alzheimer’s …

The fungi found thriving in the highly radioactive environment of the Chernobyl Nuclear Power Plant exhibit a remarkable ability to …

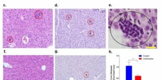
Fenbendazole (also known as Fenben) is a broad spectrum benzimidazole anthelmintic used against gastrointestinal parasites including: giardia, roundworms, hookworms, whipworms, …

Ivermectin is a medication that treats some parasitic diseases. There are two types of the medication. Doctors prescribe one kind …

A new cervical cancer treatment using cheap, existing drugs has been hailed as the biggest breakthrough in two decades. Cancer …

(NaturalNews) Groundbreaking new research on the cancer-fighting potential of vitamin C has made the pages of the peer-reviewed journal Science Translational …

As gross as this sounds, the impact that fecal microbiota transplants have on patients with Clostridioides difficile (C. diff) infections …

Magnetic resonance imaging (MRI) is how we visualize soft, watery tissue that is hard to image with X-rays. But while …

Researchers from The University of Queensland have discovered the active compound from an edible mushroom that boosts nerve growth and …

By André Julião | Agência FAPESP – Researchers at the Federal University of São Paulo (UNIFESP) and Butantan Institute in Brazil …

Researchers at Memorial Sloan Kettering Cancer Center recently published the results of a trial which armed patients’ own immune systems …

By Luciana Constantino | Agência FAPESP – In a study conducted at the University of São Paulo’s Human Genome and Stem …

Within weeks, Walter Reed researchers expect to announce that human trials show success against Omicron—and even future strains. Within weeks, …